Most koi keepers would likely agree that keeping their koi healthy is a top priority, but parasites, bacteria, and other potential threats are always lingering around your pond, waiting for a chance to attack. If your pond is maintained and your koi are free from stress, the chances of a disease breaking are much lower. However, all it takes is something as simple as a change in water quality or a visit from a predator to weaken the immune system of your koi and make them more susceptible to illness.
If your koi get sick, it’s important to quickly identify and treat the problem before it worsens and spreads to other fish. In an effort to help you keep your koi healthy, we’ve put together this koi disease guide with information about common koi illnesses, causes and symptoms, and possible treatment options.
Parasitic Diseases
Parasites are most commonly brought into a pond by a new fish or plant, which is why following proper quarantine measures is so important. Once a parasite infestation is introduced to your pond, they can rapidly multiply and impact the entire koi population.
Most parasites themselves are not deadly. The problems come when the parasite latches onto the koi, which can cause stress and create wounds that lead to secondary infections. Knowing the physical and behavioral symptoms of a parasitic infestation will help you quickly identify and treat the problem.
Symptoms
|
Behavioral Signs |
Physical Signs |
|
|
Anchor Worm |
|
|
|
Fish Lice |
|
|
|
Flukes |
|
|
|
Chilodonella |
|
|
|
Costia |
|
|
|
Ich / White Spot |
|
|
|
Trichodina |
|
|
Identification
Treatment depends on the type of parasite you’re dealing with, so it’s crucial to diagnose the problem as quickly as possible. Most parasites can’t be seen with the naked-eye, which means you’ll need to take mucus and gills samples to properly identify. This entails taking a scrape of mucus from the body and a clipping from the gills, then viewing it under a microscope. Here’s a brief rundown of how to identify each bacteria:
Anchor Worm and Fish Lice
Both anchor worm and fish lice can be identified without a microscope once they’ve attached to your fish. Anchor worms are about 20mm long and will appear as a small thread-like string coming off the body of your koi. The body of this parasite is actually forked and resembles an uppercase “Y,” though only the worm-like body is visible when attached to your fish.
Fish lice are known to be a larger parasite, making them fairly easy to spot. They are translucent brown, have flat, oval-shaped bodies, and may look like small specks of algae growth on your koi’s body.
Flukes
Both gill and skin flukes can only be identified using a microscope. When viewed under magnification, flukes have a worm-like cylindrical body with hooks, which they use to attach themselves to their host. The easiest way to distinguish between gill and skin flukes is by looking at the head of the parasite. Gill flukes have a scalloped head with clearly-visible dark spots, while skin flukes have a v-shaped head that does not have dark spots.
Chilodonella
Chilodonella can only be identified using a microscope. This parasite has an oval- or heart-shaped body that is evenly covered in cilia, which resemble tiny hair-like spots. Because chilodonella is fairly slow-moving compared to some other parasites, it can sometimes be difficult to spot.
Costia
Costia is an extremely small parasite, only about 10-20 microns long. (For comparison, the diameter of a human hair is about 75 microns.) Because of Costia’s size, you’ll likely need a magnification of 400x to be able to spot it. Costia is a fast moving parasite and has a pear- or comma-shaped body. For positive identification, it’s recommended that you stain the sample slide.
Ich/White Spot
The small, white flecks found on the body of koi as a result of Ich make diagnosing this parasitic infestation easier; however, it’s still recommended that a microscope be used to confirm the presence of Ich. Under a microscope, the hoof-shaped nucleus of the parasite should be clearly visible within a round body.
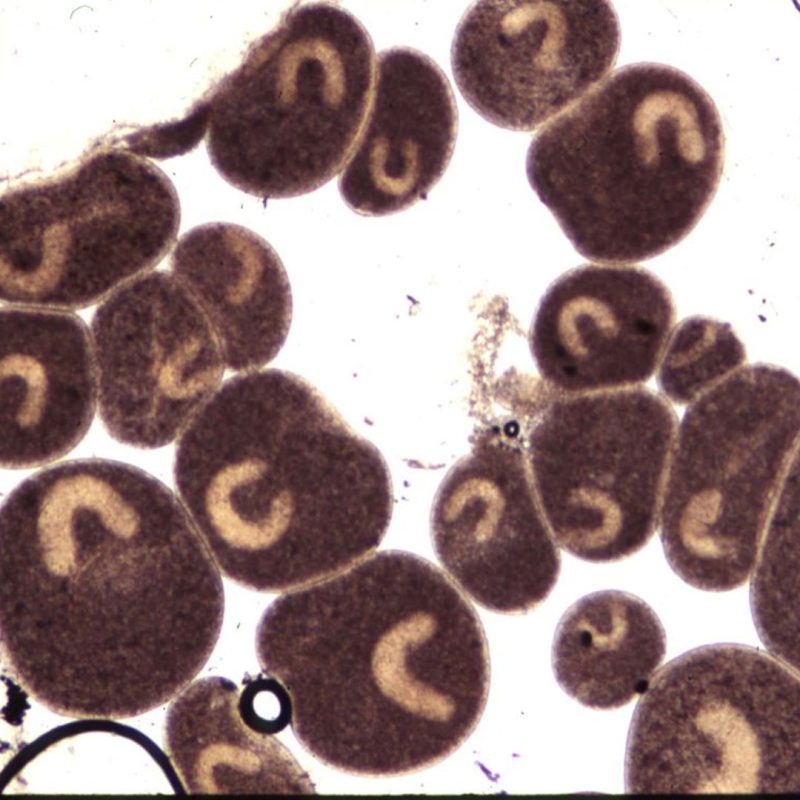
Trichodina
Trichodina is one of the easier parasites to spot under a microscope. It’s sometimes compared to a flying saucer because of its perfectly round shape and spinning motion when viewed under magnification. Trichodina also has hundreds of hooks along the outer edge, which resemble cilia.
Treatment
|
Treatment |
Notes |
|
|
Anchor Worm / Fish Lice |
|
|
|
Flukes |
|
|
|
Chilodonella |
|
|
|
Costia |
|
|
|
Ich / White Spot |
|
|
|
Trichodina |
|
Bacterial Diseases
Bacteria is always present in ponds. If your pond is clean and your koi are relatively stress-free, the presence of bacteria shouldn’t cause any problems. Koi have a natural slime coat that protects their body from infection, but issues with bacteria can easily arise when the slime coat is damaged or an open wound is present. Parasitic infestations or predator attacks, poor water quality, and stress can make koi more susceptible to bacterial infections.
Symptoms
|
Behavioral Signs |
Physical Signs |
|
|
Columnaris |
|
|
|
Dropsy |
|
|
|
Red Pest (Hemorrhagic Septicemia) |
|
|
|
Ulcers |
|
|
|
Bacterial Fin and Tail Rot |
|
|
Identification
The majority of bacterial illnesses in koi are caused by Pseudomonas and Aeromonas. (Columnaris is the exception, which results from Flexibacter columnaris.) As mentioned above, these bacteria are always present in ponds, and they likely won’t cause any issues as long as your pond is maintained and your koi are healthy. But, bacteria is opportunistic. If the immune system of your koi is compromised in any way, these bacteria can easily infect your koi.
It’s important to note that bacterial infections are typically a secondary issue. Usually, there is an initial stressor that weakens the immune system and makes it easier for bacteria to attack. When treating a bacterial infection, it’s essential to also find and treat the root of the problem in order to prevent future issues.
Treatment
|
Treatment |
Notes |
|
|
Columnaris |
|
|
|
Dropsy |
|
|
|
Red Pest (Hemorrhagic Septicemia) |
|
|
|
Ulcers |
|
|
|
Bacterial Fin and Tail Rot |
|
|
Fungal and Viral Diseases
Koi are susceptible to several fungal and viral illnesses. The physical manifestations of fungal infections make them fairly easy to spot and diagnose. Much like bacterial illnesses, keeping your pond maintained and your koi healthy will help prevent fungal issues from arising.
The viral diseases that impact koi differ from other illnesses because there are no known cures. Carp Pox, Koi Herpes Virus (KHV), Spring Viraemia of Carp (SVC), and Carp Edema Virus (CEV) are the four viruses that most commonly impact koi. While KHV has a mortality rate of about 90%, carp pox is not dangerous and is dormant in many fish. CEV, also known as koi sleepy disease, has a very high mortality rate in juvenile koi—around 80%—but adult koi usually survive the illness. If caught early enough, it’s also possible for koi to survive SVC.
Symptoms
|
Behavioral Signs |
Physical Signs |
|
|
Saprolegnia Fungus |
|
|
|
Carp Pox |
|
|
|
KHV |
|
|
|
SVC |
|
|
|
Carp Edema Virus |
|
|
Identification
Saprolegnia Fungus
Saprolegnia fungus and columnaris can look very similar to the naked eye. However, under a microscope, a columnaris scraping will show thin, rod-shaped bacterial clumps that resemble columns. However, if you look closely at saprolegnia, you should see small hair-like structures, which will not be present in columnaris. It’s also important to note that columnaris can only survive on living tissue, while saprolegnia fungus grows on dead tissue.
Carp Pox and Koi Herpes Virus
Carp pox is caused by CyHV-1, the common herpes virus. KHV is caused by CyHV-3, which is a herpes virus subtype that is more dangerous. If your koi has whitish spots that look waxy in appearance, you can rest assured that your koi has common carp pox. The symptoms of KHV will progress quickly as the virus attacks the internal organs of the koi. Though KHV is extremely deadly, it’s important to note that it’s fairly rare and only passes through direct contact with fish, water, or equipment that have been contaminated with the virus.
Spring Viraemia of Carp
SVC can spread quickly. The virus is shed in the feces infected fish and typically enters through the gills, where it attacks the blood and internal organs. Fish lice can also carry the virus from fish to fish. SVC tends to be most severe in colder water, making outbreaks most common in the spring.
Carp Edema Virus
CEV can be difficult to identify due to the fact that it can cause several secondary infections, and the symptoms are similar to a parasitic infestation. Just like with parasites, the virus typically attacks weak or stressed koi, so parasites are typically present as well. The disease seems to be carried primarily in the gills, and it can progress quickly if left untreated.
Treatment
|
Treatment |
Notes |
|
|
Saprolegnia Fungus |
|
|
|
Carp Pox |
|
|
|
KHV |
|
|
|
SVC |
|
|
|
Carp Edema Virus |
|
|
Illness Prevention
As we’ve mentioned before, the majority of koi illnesses are opportunistic. The chances your koi will get sick are much lower if their immune systems are strong. Here are a few ways you can help prevent illness in your pond:
- Always quarantine new arrivals. This gives fish time to acclimate to their new environment and gives you time to monitor them for any signs of illness. If they are sick, you’ll be able to easily treat any issues and prevent disease from spreading to your entire pond population.
- Properly maintain your pond. Make sure the water is free from leaves and other debris to avoid waste build up. Clean filters and perform routine water changes regularly.
- Monitor water conditions. Regularly test your pond water to ensure that the parameters aren’t off, and make adjustments when necessary.
- Feed koi a high-quality diet. We recommend a fish meal-based formula that is high in protein, like Blue Ridge Platinum Pro.
- Avoid overstocking. A crowded pond is a stressful pond, and stress can make your koi more susceptible to illness.
- Protect your pond from predators. Frequent visits from predators not only causes stress to your koi, but predatory attacks can lead to open wounds, which put your koi at risk for bacterial infections.
While in many cases illness is avoidable, sometimes koi may unexpectedly get sick. It’s your job as a koi keeper to educate yourself and know how to respond in the event that your koi do fall ill. Quickly diagnosing and treating the disease can help minimize the impact of illness and prevent it from worsening or spreading to your entire pond population.


